В Нижнекамске врачи спасли трёхлетнего малыша, проглотившего монету

В Нижнекамской детской районной больнице с перинатальным центром (НДРБ с ПЦ) успешно провели экстренную операцию: медики извлекли монету из пищевода трёхлетнего ребёнка. Об этом сообщает пресс-служба медучреждения.
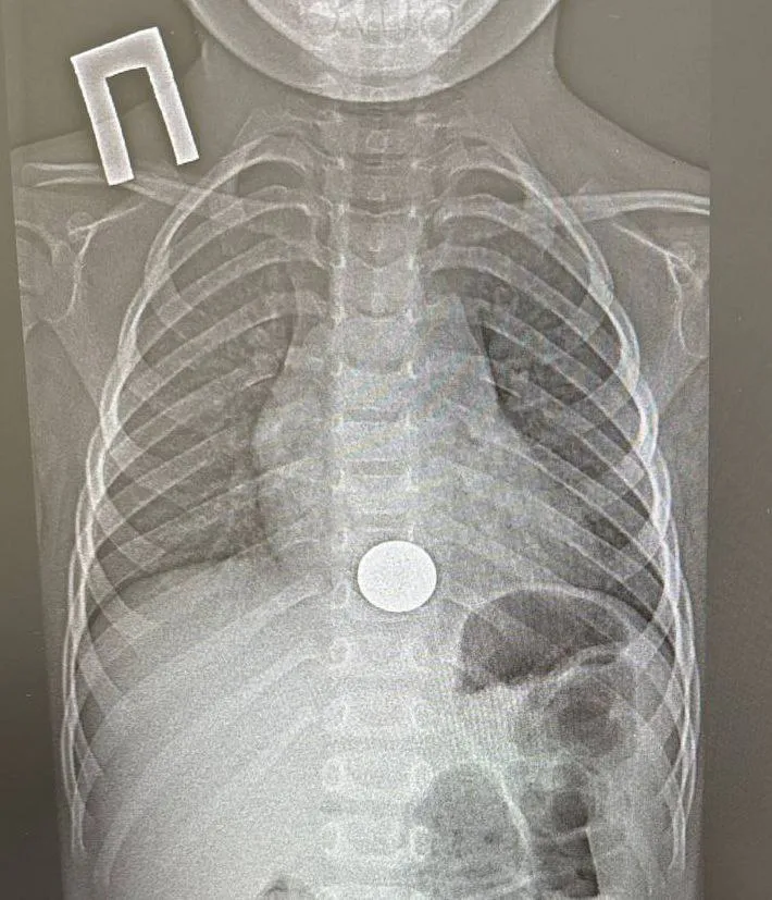
Инцидент произошёл 15 декабря. Малыш взял монету у старшего брата, случайно проглотил её и сразу рассказал об этом родителям. Мать незамедлительно доставила ребёнка в больницу. Рентген подтвердил: инородное тело застряло в пищеводе.
Операцию провёл детский хирург, врач‑эндоскопист Игорь Шогоров — он удалил монету эндоскопическим методом. Манипуляция заняла всего минуту. После наблюдения в хирургическом отделении уже на следующий день мальчика выписали домой в удовлетворительном состоянии.
Врачи подчёркивают: своевременное обращение за помощью предотвратило серьёзные осложнения. Медики вновь напоминают родителям о правилах безопасности:
храните мелкие предметы (монеты, батарейки, магниты, детали конструктора) в недоступном для детей месте;
не оставляйте малышей без присмотра во время игр с мелкими предметами;
при подозрении, что ребёнок проглотил или вдохнул инородное тело, срочно обращайтесь к врачу.
Ранее мы писали, что в Нижнекамске откроется филиал онкодиспансера.
Автор: Алсу Салихова